Oya (center) with her children: Cayleigh, 13; Caysie, 6; O’Rhyan, 9; and Sevyn, 8
Oya Rhodes, 30, of Wiggins is a mother of four and a former certified nurse assistant! who is now a work-from-home medical customer-service representative.
MY HEALTH CHALLENGE
For starters, I could hear whooshing in my ear. I also suffered from stiffness, limb weakness and slurred speech and began to lose my balance. My vision became blurry, so I went to the eye doctor — where I was told I may have had a stroke and referred elsewhere. I was misdiagnosed and got a second opinion because I knew something was wrong.
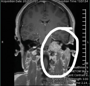
After a CT scan and MRI, I learned that I had a mass on my brain and could not go home. The nurse kneeled beside me and told me it looked cancerous and aggressive.

At that moment I didn’t know what to do or how to feel. I just went blank and called my Aunt Cynt. I was told I needed a miracle. The medical team told my family that I was declining and that my mom could come to take me off life support. It was not looking good.
God said different. I woke up from a medically induced coma after having swelling on the brain with 70% of my brain clotted, I had a tube in my throat. I went through a lot, so just to be here is enough for me.
Some days I get down, but I ask God for strength. I cry, but I always keep going!
MY TREATMENT
I had three angiograms to shrink the tumor and cut off its blood supply before brain surgery. I recently had another surgery to get the filters that prevent blood clots from traveling to my heart and lungs removed. I am doing so much better!
THE HARDEST PART
I think the hardest part is being in the shape I’m in now. One day I was normal and able to function. Now I feel as if this tumor slowed me down. I had to relearn how to speak, walk and use my fingers, I also suffer from memory loss.
THE SILVER LINING
The most rewarding part is overcoming all these trials and being able to encourage others through my resilience. Life as I once knew it will never be the same, and I feel sometimes like I’ve been dealt a terrible hand. I ache. I hurt. I lost the ability to chew and swallow on one side, I also am deaf in my left ear, as that tumor damaged a lot of nerves. It tried to take me out!
WHAT LIFE IS LIKE NOW

For the most part, I am adjusting pretty well. I have come a long way! I returned home with a walker, a bag of medication and a tube in my stomach, but I am adapting at a good pace. I do tend to rush the process, but I try to remember to give myself time.
This experience has changed my life in so many ways. I realized how short life can be, and I focus on my health more.
Because of this event, I will no longer sit back and suffer in silence or ignore warning signs. I pay attention to my body. Since having brain surgery, I completed an eight-week travel assignment in Pennsylvania, and I also enrolled in classes and became a certified clinical medical assistant.
MY ADVICE TO OTHERS
My advice to those who are facing a serious health challenge is to get seen; don’t wait. Pray, and have faith that everything is working out for your greater good.

